
Враховуючи, що понад 70% нових зоонозів походять від диких тварин, зростання щільності синантропних видів тварин у приміських районах може посилити поширення патогенів серед домашніх тварин, сільськогосподарських тварин та людей.
Чи стосується це популяцій диких кабанів?
В останні десятиліття населення все більше захоплюється мисливством. Полювання на дикого кабана збільшує випадки споживання людиною м'яса та м'ясних продуктів від нього, що створило додаткові проблеми для контролю та профілактики харчових отруєнь, передачі зоонозів. Більше того кожного року зростають випадки діагностики такого захворювання як трихінельоз.
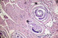
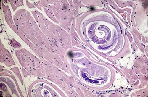
Трихінельоз – це захворювання людини та інших тварин, яке спричиняє крихітний паразитичний черв’як, найчастіше Trichinella spiralis. Рід Trichinella складається з 13 таксонів (10 видів та 3 генотипи), розподілених на 2 клади: інкапсульовані та неінкапсульовані. На сьогоднішній день, за повідомленнями, було виділено 4 види: T. spiralis , T. nativa , T. pseudospiralis та T. Papuae. Трихінела має три помітні форми життєвого циклу – інцистовані личинки, личинки та дорослі черви – які мешкають у різних частинах тварини-господаря. Коли тварина заражається, личинки трихінел знаходяться в її м’язах у вигляді інцистованих личинок. Коли споживачі з’їдають цей м’яз до того, як він повністю приготується, інцистовані личинки стають активними при змішуванні зі шлунковою кислотою. Личинки швидко перетворюються на повноцінних дорослих особин у тонкому кишечнику споживачів, де вони виробляють велику кількість інших живих личинок, які проникають у м’язи по всьому тілу. Потім личинки залишаються там у своїй інцистованій формі протягом багатьох років. Люди та інші тварини можуть заразитися через вживання сирого, недостатньо термічно обробленого або обробленого м’яса свиней, диких кабанів, коней чи дичини, яке містить мікроскопічні личинкові черв’яки (відомі як «трихінели»), що знаходяться в м’язовій тканині.
У людей ознаки, симптоми, тяжкість та тривалість трихінельозу можуть відрізнятися
Симптоми часто починаються з нездужання і включають діарею, спазми в животі, нудоту, втому, лихоманку. Прогресування захворювання може включати лихоманку, біль у м’язах та головний біль, кашель, набряки, свербіж. Якщо інфекція важка, можуть виникнути проблеми з координацією рухів, а також проблеми із серцем та диханням. У дуже важких випадках можуть бути уражені життєво важливі органи, що може призвести до менінгіту, пневмонії або навіть смерті. Симптоми можуть тривати від п'яти до 45 днів, але зазвичай вони починають проявлятися через 10-14 днів після вживання зараженого м'яса. Симптоми у шкт можуть виникнути набагато раніше, через один-два дні після зараження.
Діагностика трихінельозу
Найкращою практикою є тестування диких кабанів, м'ясо яких призначене для власного споживання або для постачання безпосередньо споживачам чи місцевим роздрібним торговцям, щоб забезпечити впевненість у безпеці харчових продуктів. Мисливцям для проведення цього тесту необхідно взяти невеликий фрагмент діафрагми дикого кабана, оскільки ця ділянка, найімовірніше, містить паразита у личинковій формі і повинні надіслати зразок до відповідної лабораторії для тестування. Де шляхом мікроскопії або інших видів лабораторної діагностики, одним з яких є ферментативне розщеплення, лікар ветсанексперт визначить чи є безпечною продукція. Також поширеним серед мисливців стає експрес-діагностика з використанням на місці швидких експрес-тестів для визначення трихінельозу. Там де тестування проводиться регулярно і проводиться протягом багатьох десятиліть, інфекція Trichinella spp. зараз практично відсутня.

